新潟県新潟市西区小針西2丁目12番15号

 

大腸ポリープ


<大腸ポリープとは>
大腸ポリープとは、大腸の粘膜がイボのように膨らんだ組織のことです。小さなものは多くが良性ですが、放置すると大きくなって出血の原因になったり、大腸がんになることがあるため、小さいうちに切除したほうが良いと考えられています。

<原因>
大腸粘膜の遺伝子異常に加え、加齢であったり食生活の欧米化によってポリープが増加する傾向が分かっています。

<症状>
ポリープがあっても痛みや違和感などの自覚症状が出ることは非常にまれで、ある程度大きくなってから症状が出ることがほとんどです。
ポリープが大きくなると、便が大腸を通過する際にポリープに擦れて血液が付着し、便潜血検査で陽性となることがあります。ただし多くのポリープは1cm以下であり、肛門近くにポリープが出来て出血するなどの場合を除いて、自覚症状はありません。

<治療>
まずは大腸カメラ検査でのポリープ切除術が試みられます。当院では鎮静剤を用いた苦痛の少ない検査を行うことが出来ます。

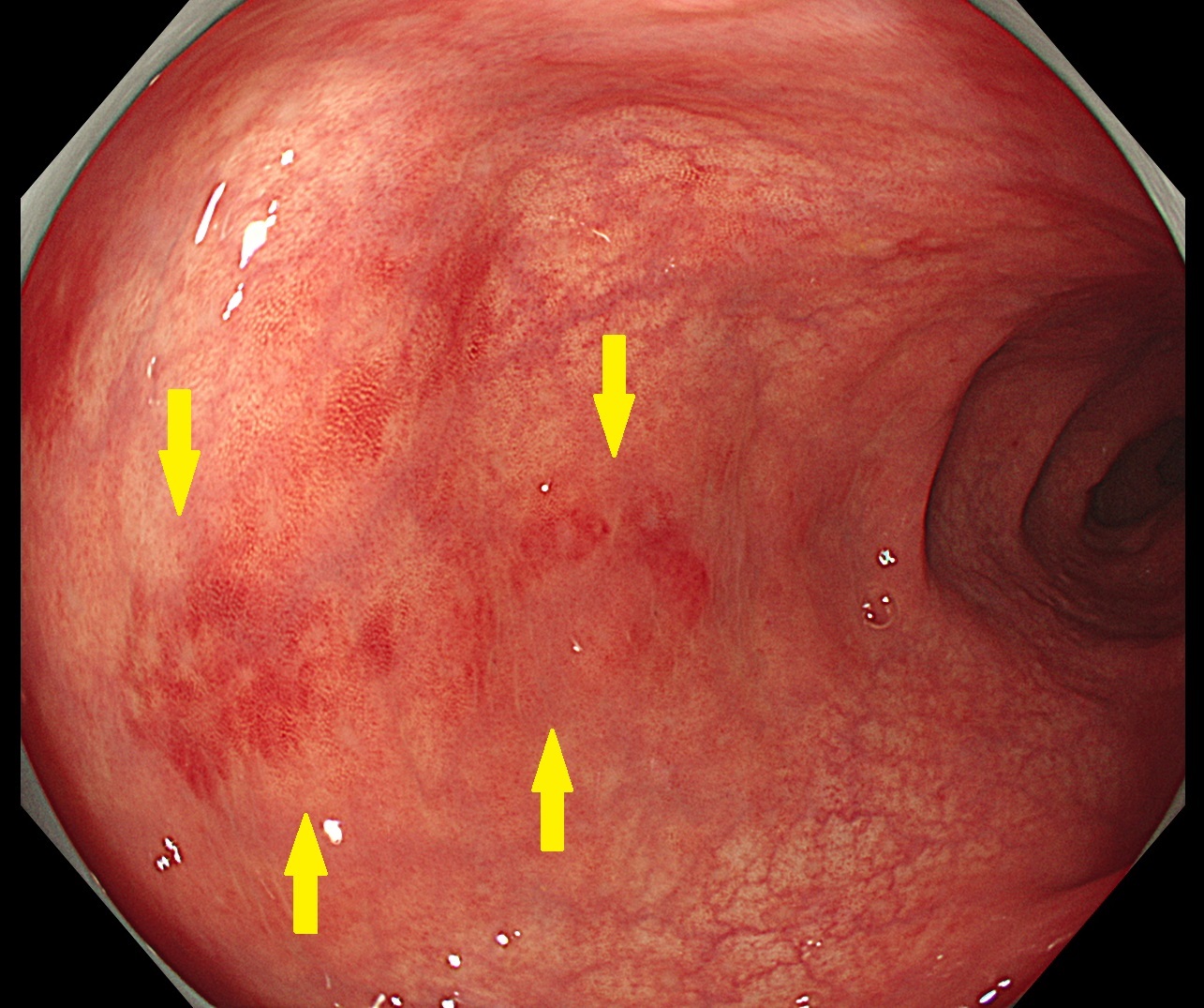
虚血性大腸炎


<虚血性大腸炎とは>
大腸の血流が悪くなって、腸粘膜に炎症や潰瘍が起こる病気です。突然の腹痛、下痢、血便などの症状が典型的ですが、腹痛がない方もいらっしゃいます。
高齢者や女性、便秘気味の方に起こりやすいと言われており、便器が真っ赤になるような血液混じりの便に驚いて病院を受診される方が多いです。

<原因>
動脈硬化などによる大腸への血流の低下、便秘による腸管内圧の上昇などが原因となりますが、特に誘因なく発症することも多いです。

<症状>
代表的な3つの症状があります。
・腹痛
突然の腹痛が特徴の一つです。特に左下腹部~下腹部に痛みが生じることが典型的です。
・下痢
水溶性の下痢が複数回出ることがあります。
・血便
鮮やかな赤色からピンク色、赤黒い色まで様々です。これは炎症を起こした大腸粘膜からの出血が原因です。

<治療>
多くは軽症であり、安静にして消化の良い食事をすることで7~10日前後で改善します。炎症が強い場合には、腸をしっかりと休ませるために入院して点滴・絶食が必要になることがあります。通常は予後良好ですが再発することもあるため、便秘気味な方は便秘薬などを用いて排便コントロールを行うことが重要です。

大腸がん


<大腸がんとは>
大腸の粘膜にできる悪性腫瘍(がん)であり、症状が出にくいことが特徴の一つです。癌が進行していくと便に血液の付着が出現したり、大腸内の便が通過することが困難になって急に便秘気味になったり、便が細くなった、お腹が張る、残便感などの症状が出現しやすくなります。無症状でも、便潜血検査で陽性となった方は大腸カメラ検査が推奨されます。

<原因>
大腸がんの患者数は増加傾向にあります。その原因として環境的要因(高蛋白・高脂肪摂取)など食生活の欧米化、肥満、年齢、遺伝的要因などが関連しています。

<症状>
初期にはほとんど症状は出現しません。また、残念ながら便潜血検査が陰性でも大腸がんを発症しているケースが多くあります。一般的な症状としては排便異常や腹痛、血便、膨満感などですが、これらの症状は大腸がん以外の病気でもみられることがあります。

<治療>
内視鏡的切除術、外科的切除術、化学療法などがあります。当院では大腸カメラ検査時にポリープを見つけた際には、その場で内視鏡的切除を行うことが可能な施設となっています(日帰り大腸ポリープ切除)。大腸ポリープは放置するとポリープが大きくなったり癌化しやすくなるため、その場で切除してしまうことが大切です。
日帰り手術なので、別日に再度検査を予約したり下剤飲用・食事制限などを行う必要がありません(ただし、ポリープの数が非常に多かったり、出血リスクの高いポリープがあった場合には複数回に分けて大腸カメラ検査を行う必要があります)。

潰瘍性大腸炎


<潰瘍性大腸炎とは>
大腸の粘膜に炎症が起こり、びらんや潰瘍を形成する原因不明の病気です。幅広い年齢層に発症しますが、特に若い方に起こりやすいのが特徴の一つです。いまのところ完治させる治療法はありませんが、適切な治療によって炎症を抑え、寛解(症状が治まった状態)を目指します。

<原因>
原因はいまだに不明で、自己免疫や腸内細菌、食生活などが関連していると考えられています。また同じ家系内に発症することもあり、遺伝的要因も指摘されています。

<症状>
典型的な症状は粘血便・下痢・腹痛があります。重症例では発熱・体重減少・貧血などを引き起こすこともあります。ストレスにより症状が悪化する傾向が多くみられます。

<治療>
ペンタサ、アサコール、リアルダ、サラゾピリンといった5ASA製剤の内服や、坐剤・注腸剤などが治療の主体となります。
これでも寛解が得られない場合には、ステロイド薬や免疫調節薬、各種生物学的製剤、JAK阻害薬などの投与で寛解を目指します。

大腸憩室症


<大腸憩室とは>
大腸の壁の一部が外側に飛び出して、袋状になった状態を大腸憩室といいます。年齢が高くなるほど多発する傾向があります。

<原因>
日本でも増加傾向であると言われており、高齢化や食生活の欧米化が原因と考えられています。

<症状>
基本的には無症状であり、大腸カメラ検査を行った際に偶然見つかることがほとんどです。
まれに憩室部分の血管から出血すると腹痛を伴わずに血便が出現したり(大腸憩室出血)、憩室に糞便が溜まったまま時間が経過して炎症を起こし、腹痛や発熱が出現する(大腸憩室炎)ことがあります。

<治療>
無症状であれば大腸憩室に対する治療は必要ありません。
大腸憩室出血の場合、自然止血することが多いですが、造影CT検査や大腸カメラ検査で出血の部位を確認できた場合には、大腸カメラで内視鏡的止血術(クリップ止血術など)を行ったり、血管内治療を試みることもあります。それでも出血が止まらない場合には外科的治療が必要になることがあります。
大腸憩室炎では安静・絶食・抗生剤を投与されます。憩室炎を繰り返したり、穿孔(腸に穴があく)、膿瘍形成、腸管狭窄や内科的治療で改善しない場合には外科的治療(大腸部分切除)が行われる場合があります。


© nishiniigata honda naika clinic. All Right Reserved.